精準入微 洞見非凡
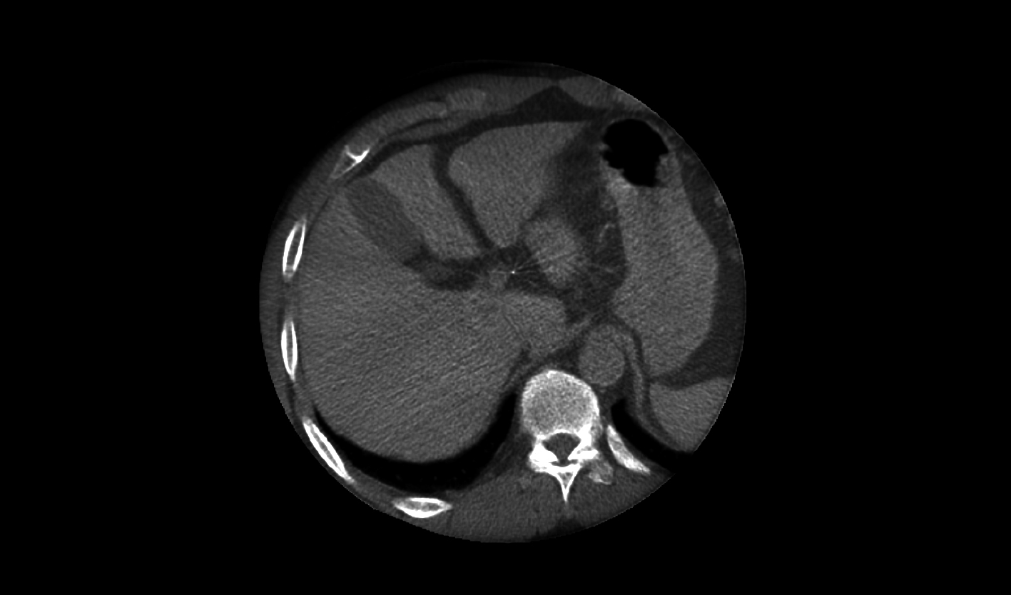
精微小血管可視
保障長時間充沛動力,壽命長
Quantum 3D/Quantum CT/Quantum Stent
2K超清影像鏈,精至微小血管一覽無余
讀取速度快
分辨率高
劑量降低

液態金屬軸承
高散熱、長壽命
柵控脈沖
減少雜散射線、無爬坡、拖尾
金屬濾片
過濾雜散射線,圖像始終清晰

遼闊視野
*40×30cm成像面積,大部位成像一次性覆蓋
AI+源頭降噪
深度學習多層特征智能降噪,融合多重先進后處理技術,兼顧精準與低劑量

經典落地機架
快速靈活實現術中擺位移動
智能多軸等中心
快速智能鎖定病灶

120cm 大進深覆蓋
機架正位滿足胸腹部以上介入需求
*230cm 縱向覆蓋范圍
滿足全身介入手術需求,97cm地軌床,快速CPR位






萬東醫療
萬東技服
萬里云