真16通道*、150梯度發動機、1ppm高均勻度磁體
(*具體參數以實際配置單為準)
pSENSE (Power SENSE)壓縮感知成像技術
自動掃描、3DASL全定量、類PET大視野1min成像
一站式“交鑰匙”工程,助力產品快速投入臨床使用
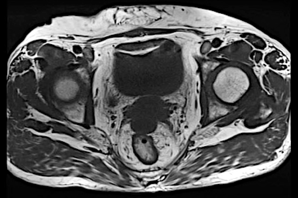
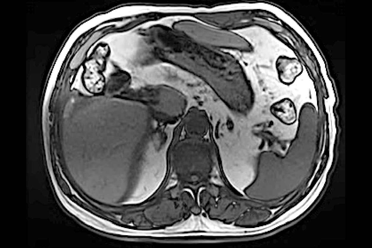
采用高性能超導磁體,運用亞秒級智能勻場技術,能夠快速完成對任意區域、任意部位的高精度勻場;確保50cm球體范圍的磁場均勻度小于1ppm,優異的磁場均勻度帶來大FOV及偏中心部位優秀的脂肪飽和效果。

真16通道射頻平臺*
整機射頻通道數是決定磁共振性能的核心硬件參數。i_Space 1.5T 磁共振,16個模數轉換器ADC與整機射頻通道一一對應。
(*具體參數以實際配置單為準)
150梯度發動機
梯度場強35mT/m、切換率梯度系統150mT/m/ms以上、Epi最短TE1ms以內,可縮短掃描時間、提高高級序列、掃描精度以及掃描速度。
pSENSE 壓縮感知成像技術
將壓縮感知中的非相干欠采樣與并行采集SENSE相結合,大幅減少K空間編碼步數,序列掃描時間成倍縮短;在采集時間不變的情況下可提高空間分辨力或增加3D采集的成像范圍,快速精準成像。
UltraScan AI智能定位
智能擺位+智能定位,一鍵掃描優化流程,提升科室檢查效率
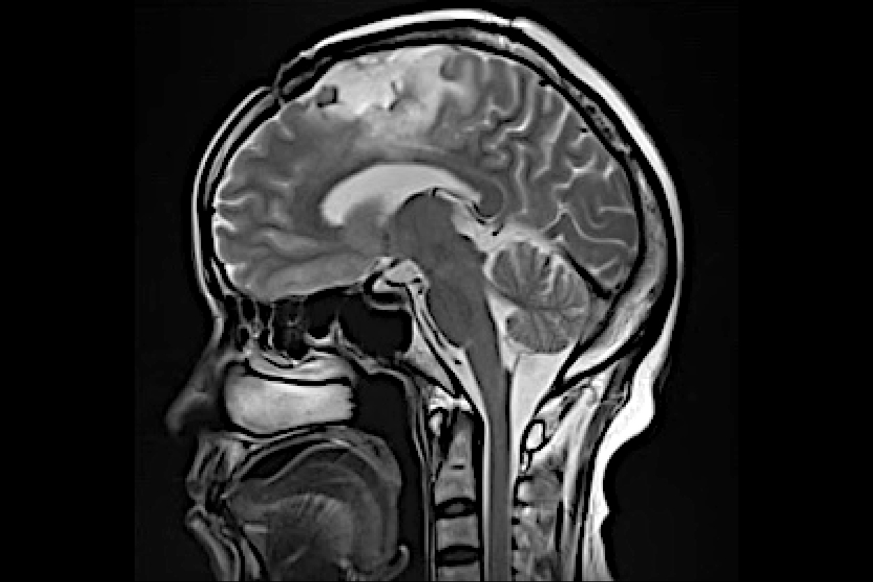
卒中解決方案
3D ASL 全腦不打藥灌注定量
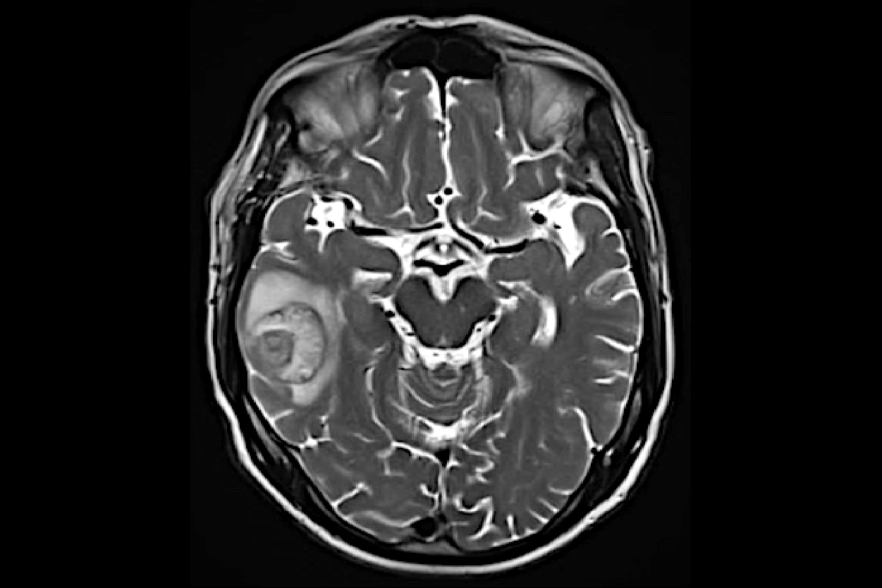
腫瘤解決方案
類PET大視野1min成像
萬東醫療
萬東技服
萬里云
